Tuesday, November 27, 2012

8 weeks


How Far Along: 8 weeks

Size of baby: Baby is the size of a kidney bean this week!

Interesting Developmental Stuff: The arms and legs continue to develop - These limbs are stretching out more and more. Later on you will be feeling those feet and elbows up close and personal right in your bladder. The embryonic tail has almost disappeared.
The pituitary gland is also forming and the embryo is beginning to grow muscle fibers. The heart has divided into the right and left chambers and is beating about 150 beats a minute which is about twice the rate of an adult.
The baby's facial features are visible, including a mouth and tongue. The eyes have a retina and lens. The major muscle system is developed, and the baby starts to practice moving. The baby has its own blood type and the blood cells are produced by the liver now instead of the yolk sac.

Total Weight Gain: Will know tomorrow...hopefully staying steady at the 5 lb. weight gain.

Sleep: Falling asleep earlier and earlier every night. I was in bed by 6pm last night and asleep by 7:30pm.

Symptoms: All-day nausea. Not vomiting, but VERY close. Super tired. A bit more uterus stretching/cramping this week. Dealing with the UTI, so I'm peeing even more frequently than before.

Cravings: Bland stuff. Toast with peanut butter and Stouffer's macaroni and cheese.

Gender: No clue.

Movement: Not even close unless gas counts ;)

Maternity Clothes: Still regular clothes for work. But maternity jeans on weekends.

Milestones: 8 weeks and no spotting.

What I'm looking forward to: Ultrasound #2 tomorrow. My mom is going with me to this appointment.

The belly: Bloated and round.

Friday, November 23, 2012

UTIs

This is going to be a short post mostly because yesterday was a very long day and I need sleep!

I woke up in the morning and thought I felt a pressure on my bladder. I kept thinking it was a UTI and had every intention of going to an urgent care center. But I didn't have burning or anything, so I brushed it off and ignored it. DH and I went to his cousin's house for a big family dinner, watched the Lions, then hit to road to drive 4 hours to my Dad's house.

About halfway there, I got a very sharp, burning feeling in my bladder. I thought maybe I had just waited too long to pee, so I stopped at a rest area and then got back on the road. But the sharp burning feeling kept coming and I spent the next 2 hours in pain and just begging to get there already.

We finally got there and told my dad we had to go to the hospital because I was dehydrated and pretty sure I had a UTI. He offered my some 7-Up. That's when I realized I was just going to have to tell him I was pregnant so it would make more sense why this was so urgent. I paused for a minute and said "well, the good news is that I am pregnant!" He said something like "oh really!" but looked very happy. Asked when I was due and then out the door we went. The waiting room was empty but it took an hour to get a room and another hour before being discharged.

They tested my urine but said it was "fairly benign" and that since I just started having symptoms that we likely caught it early. Doctor said if it looks like a duck and walks like a duck, it's probably a duck. He prescribed Macrobid and they also said to drink lots of water and that I could take over the counter Azo for pain.

I am trying to relax today and drink lots of water...and also peeing every half hour. It pretty much sucks...but I am glad that I don't have any plans today and can just hang out.

I'm still pretty mad at myself for not listening to my gut feeling this morning, but had I gone this morning they likely would've tested my urine and it would've came back negative, so I suppose we actually saved ourselves some money by not going to urgent care.

I was seriously so scared! I felt bad. I had drank less water that day because I knew we would be traveling and that there weren't many places to stop to pee along the way. I also had a very sodium-filled Thanksgiving meal, so I'm sure that didn't help. In hindsight, the fact that I got so dehydrated was probably the reason I was able to notice the UTI so early!

My question is, isn't my OB supposed to be testing my urine at every visit? Or is that later on? We he do so from now on now that I've had a UTI?

Tuesday, November 20, 2012

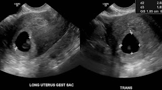
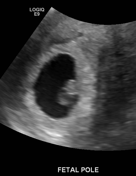
Ultrasound Details & Pics

I picked up the CD from my ultrasound and also got a report.

The gestational sac is 1.7x2.02x1.83cm which corresponds to  gestational age of 6 weeks 2 days.

The fetal pole has a crown to rump length of 0.59cm which corresponds to a gestational age of 6 weeks 3 days.

Cardiac activity with a regular rate of 129 beats per minute detected. A well-formed yolk sac is present.
There is a small hypoechoic regional along the left and superior margin of the gestational sac measuring 1.14 x 0.30 x 0.84cm which may be a subchorionic hemorrhage.

Uterus is 9.8x4.3x4.5cm. Cervix is closed and measures 3.8cm.

Right ovary measures 4.7 x 3.0 x 3.1 and the left 3.3 x 2.6 x 2.1cm. Both ovaries contain follicles. Mass in right ovary is 3.2 x 2.1 x 2.0...this may reflect an ovarian cyst. Complex thick walled hypoechoic mass in the left ovary measuring 1.9 x 1.7 x 1.7cm. This is likely a corpus luteal cyst.

Due date estimated: July 10, 2013

And now, for the pics!






















Monday, November 19, 2012

7 weeks, 1 day

How Far Along: 7 weeks, 1 day

Size of baby: Baby is the size of a blueberry this week!

Interesting Developmental Stuff: The big news this week: Hands and feet are emerging from developing arms and legs -- although they look more like paddles at this point than the tiny, pudge extremities you're daydreaming about holding and tickling. Technically, your baby is still considered an embryo and has something of a small tail, which is an extension of her tailbone. The tail will disappear within a few weeks, but that's the only thing getting smaller. Your baby has doubled in size since last week and now measures half an inch long.

Total Weight Gain: According to the doctor's office, 5 lbs. WOW.

Sleep:I still fall asleep usually by 8pm every night. Wake up a couple times to pee. And usually awake by 7 or 7:30am. <----same as last week

Symptoms: The nausea is worse now and pretty much nothing sounds good. I have to force myself to eat anything, and usually it's the least objectionable thing. Bland foods are my friend right now. Still no vomiting, though, thank goodness! Mild cramping every once in a while. Also still peeing a lot.

Cravings: Absolutely nothing. I just want to be able to eat normally again.

Gender: I had a dream the other night it was a girl.

Movement: Not even close unless gas counts ;)

Maternity Clothes: Still regular clothes for work. But maternity jeans on weekends.

Milestones: Seeing the fetal pole, yolk sac and heartbeat. OB saying "nothing but good news!"

What I'm looking forward to: Ultrasound #2 on Nov. 30th. My mom is going with me to this appointment.

The belly: Bloated and round.

Ultrasound #1

First off, sorry for the delay in update. Friday was such an emotional (but happy) day. DH and I have just been enjoying it all weekend long!

We went in Friday at 2:30 for the appointment, got back into a room fairly quickly, but waited for the doc for almost half an hour. Finally, he arrived and he had an intern (?) in tow, which I didn't really like, but oh well. He asked a couple quick questions...if I was feeling like crap. If my boobs were still sore. If I had any spotting, bleeding or cramping. Yep, I feel like crap. My boobs hurt. No spotting or cramping. He said he hopes I continue to feel like shit (his words) and said let's not waste anymore time...let's get an ultrasound.

He started with an abdominal, which worried me because I was only 6w5d and no one told me to drink water beforehand. He told me not to freak out if we didn't see much. We looked at the screen and it was easy to see the gestational sac. It looked like there was stuff in the sac, but it was so blurry that it was hard to tell. He kept saying that it looked good...really good...but that he couldn't promise it was or wasn't a blighted ovum, which freaked me out. I thought at this point he would offer an internal ultrasound, but he said he couldn't do those in his office, and offered to send me for one next week. This is when I lost it crying thinking I'd be in limbo all weekend wondering if there was a baby or not. I freaked out and told him I was scared and would prefer if I could get in today. He said he would try but it was late in the day and he couldn't promise anything. I started crying harder at this point, so he came up to me and hugged me and said he understood...that he had been there. He told me to take my time and come out when I was ready. He left and I lost it again while DH held me. I told him I felt stupid for crying and refused to leave the room until my face looked a lot less red and puffy.

We went out to the front desk, and the receptionist was on the phone with the imaging center down the street. DH kept saying he didn't think they'd be able to get me in same day, but they did. I had to guzzle as much water as I could before arriving. I only managed to get down about 20 oz. and thought for sure it wouldn't be enough. The tech called me back after about 15 minutes in the waiting room. We got to the room and DH mentioned that I might not have enough water. The tech seemed concerned but said it was too late now and to say down. She started looking with the abdominal and said it looked like my bladder was pretty full.

DH finally decided to look at the screen since I couldn't see it. He kept saying he thought he saw something but wasn't sure. 10 minutes later, she said it would be time for the transvaginal, so she let me empty my bladder and then come back. I just kept laying there looking at the light in the ceiling. DH got up again and started looking. A couple minutes later, he gasped and said "There really is something in there!" He kept saying that again and again. He also said he gave me a thumbs up at one point, but I never saw it. I thought about asking to see the screen, but the tech was so quiet, I decided not to.

Finally, she was finished. She left the room and I asked DH to describe in detail what he saw (I made him draw me a picture later). We went back to the waiting room once I was dressed and waited. They told us it was going to take about 15 minutes for their radiologist to read the results, then he would call my doctor, who would then call me to give me the results (while we waited). Finally, DH got antsy and decided to stand up and wait in the hallway next to the waiting room. We could hear the receptionist through the window when the radiologist called her. She answered, listened for a minute, then said "Oh, gooood." She hung up pretty quickly and dialed my doctor, called my name and handed me the phone. I got nervous for a second, but he didn't make me wait long before saying "nothing but good news!" He went on to say that they had seen the fetal pole and yolk sac and that the baby had a nice, strong heartbeat! I just keep saying OK, which was driving DH nuts because he couldn't tell what the doctor was saying. Finally he said Congrats! and to call him if I needed anything! I said Thank You! and hung up. DH instantly started asking questions...and I said everything is fine. Healthy baby with a strong hearbeat. We walked out of the office on Cloud 9...and as soon as we got out the door, DH hugged me. I looked over at him with tears in my eyes...surprised to see that he had tears in his eyes too!

The only other thing the doctor mentioned that I didn't tell DH about...was that there is a small pocket of fluid behind the placenta. He said this is common and usually resolves on its own. I didn't want to worry DH or take this moment away from him, so I didn't tell him.

I really wish I could've seen the screen during the ultrasound...or ask for a picture. But I wasn't sure if I was allowed or supposed to, so I didn't. I'm hoping my doctor will get all the ultrasound pictures, so perhaps I can ask at my next appointment (Nov 30). He will probably do another abdominal ultrasound then...I'll be 8w5d. My mom will be going with me to that one, so I'm really hoping you'll be able to see more then.

*EDIT* I called the imaging center this morning to request pictures. They are making a CD for me and I'm picking it up tomorrow. Forgot to ask how much it cost. Oops!

Friday, November 16, 2012

So Scared

My first ultrasound is today and I don't think I've ever felt so nervous in my entire life. I try to tell myself that I can't get attached to this baby yet, but it's impossible. I'm so in love already and so scared at the thought that something might go wrong. I am trying to stay positive though. I keep reminding myself that I still have symptoms (sore boobs, fatigue, moody, peeing a lot, hunger and nausea)...and I have no spotting or cramping.

I already cried this morning. It just brings back so many memories of my appointment last year. I went in so happy...and then we had the ultrasound and everything fell apart. I keep telling myself that I had spotting last year...it was a sign. I don't have that this year. And I've already said I feel really good about this pregnancy, so why am I doubting things?

Appointment is at 2:30pm EST. Prayers appreciated! I will post as soon as I can :)

Monday, November 12, 2012

6 Weeks, 1 Day


How Far Along: 6 weeks, 1 day
Size of baby
: Baby is the size of a lentil bean this week!


Interesting Developmental Stuff: Here's this week's run-down: This week's major developments: The nose, mouth, and ears that you'll spend so much time kissing in eight months are beginning to take shape. If you could see into your uterus, you'd find an oversize head and dark spots where your baby's eyes and nostrils are starting to form. His emerging ears are marked by small depressions on the sides of the head, and his arms and legs by protruding buds. His heart is beating about 100 to 160 times a minute — almost twice as fast as yours — and blood is beginning to course through his body. His intestines are developing, and the bud of tissue that will give rise to his lungs has appeared. His pituitary gland is forming, as are the rest of his brain, muscles, and bones. Right now, your baby is a quarter of an inch long,and about the size of a lentil
Total Weight Gain: About 2 lbs.
Sleep:I still fall asleep usually by 8pm every night. Wake up a couple times to pee. And usually awake by 7 or 7:30am.
Symptoms:Sometimes hungry, other times no food sounds good. The nausea has started, but still mild and no vomiting yet. Also cranky and bitchy! Mild cramping every once in a while. And about once a day a sharp pain just above my hip bone on my back (too early for round ligament pains?) Also peeing a lot.
Cravings: If I'm hungry, Subway egg & cheese on flatbread with tomatoes and mayonnaise, banana bread, macaroni salad, and yesterday french toast (I made it myself, ate half, then hated it lol)
Gender:No inklings yet. DH is hoping for twins! But I have told him I think it's just one.
MovementNot even close unless gas counts ;)
Maternity Clothes:I haven bought anything yet. Although nearly half my clothes don't fit. To be fair, a majority of them for sorta snug before being pregnant, and since I've gained two paints, they are now tighter. I'm pretty short, so it doesn't take a lot of weight to make a big different. All of my button up tops are too small...my boobs no longer fit in them ;)
Milestones:This Friday, Nov. 16th, is our first ultrasound. DH and I are both anxious and excited. The only other pregnancy ultrasound we have had, was diagnosis of a blighted ovum. We are praying to see the gestational sac with yolk sac, fetal pole and heartbeat. It's not too early at 6w5d to see a heartbeat, right?
What I'm looking forward to: Ultrasound this Friday. Telling my dad at Thanksgiving next week.
The belly:Bloated!








Wednesday, November 7, 2012

Liebster Award


D over at My Life is About the Journey nominated me for the Liebster Award this past weekend.  I am thrilled and honored that she thought my blog was interesting enough to get the award, so D, thank you!

The Liebster Blog Award is an award that is given by a blogger to another blogger with less than 200 followers.  Liebster is German for "favorite" so basically it is an award you give to your favorite bloggers.  :) 

Here is how it works. D nominated me (and several other of her favorite blogs) and created a list of 11 questions for me to answer.  I answer those questions, nominate several of my favorite blogs, and then make up 11 questions for them to answer.

So here goes with D questions!


1.  Skiing vacation or beach vacation?  Which is your idea of how to spend a relaxing day?
Beach vacation. I've never skiied and I'd likely break my leg(s) if I tried!

2.  Coffee or tea?
Before being pregnant, I was addicted to Sweet Tea from McDonald's! Hate coffee.


3.  Do you have any pets?  If so, what kinds?
Two furbabies! Sam is our blond cocker spaniel and he's 8. We got him when he was 1 from DH's aunt and uncle. He got into rat poison in their barn, they paid thousands to fix him up, then decided they didn't want to take care of him anymore. They also wanted him for hunting, but he's kind of a wuss :) He's the sweetest dog ever! Lily is our black cocker spaniel and she's 7 or 8. We rescued her from Columbus Cocker Rescue in Ohio back in 2008.

4.  Do you have any siblings?  If so, how many?  Are you close to them?
I have 1 brother, Matt. He's 2.5 years older than me. We aren't super close, but we get along.

5.  iPhone, BlackBerry, Droid, or other cell phone?
iPhone! I finally got one a couple months ago after begging DH for years!

6.  What is your favorite type of cuisine (i.e. Italian, Chinese, etc.)?
Italian, definitely! I'm not a big meat eater, but love a pile of pasta!

7.  What is the biggest part of your life that IF or PL has affected?
My relationships with other women. I feel closer to some of them...those that have supported me despite not understanding what I've gone through; and those that have been in my shoes and continue to support me throughout this pregnancy. But I am also more distant to those that have pulled away when I need them most.

8.  Do you have a lot of good friends or a few great friends?
I have a lot of good friends, but would much prefer the latter.

9.  If you could meet one famous person (dead or alive) who would it be and why?
Hmm, that's a tough one. I'm not really one of those people that go crazy over celebrities.

10.  What is your favorite Halloween candy?
Milky Way Dark, Butterfinger, Reeses

11.  If you could have one wish (except for more wishes, haha) what would it be?
To be a good mom :)


And now for my nominations (So many of my favorite blogs have been already been nominated so I tried not to duplicate)!  If I nominated you and you have already been nominated then I guess that you are extra-doubly special and don't bother answering my questions unless you really want to!)...drum-roll:

1.  Emily @ Eat Love Procreate
2.  Kyla @ Silver Lining & Sunshine on the Horizon
3.  Laura @ The Adventures of an Infertile Myrtile
4.  Megz @ My Journey Through the Storm
5.  suzanne @ Our journey to a baby bump
6.  Aly @ Breathe Gently

You ladies are awesome and I look forward to reading your blogs whenever you post!!!

Here are my questions!  Sorry I don't have the best imagination for questions:

1.  Do you believe in love at first sight?
2.  Favorite fast food place?
3.  Dogs or cats (as pets)?
4.  Occupation?
5.  Favorite band? Singer?
6.  Current annoyance?
7.  Favorite place you've traveled?
8.  Do you have any special/hidden talents?
9.  Ever met anyone famous? If so, who?
10.  When was the last time you laughed really hard and why?
11.  Do you like rollercoasters?

Tuesday, November 6, 2012

Early Pregnancy Cramping is Scary

Today is the first day when I've really been scared. And the first day I've felt a good amount of cramping. Everyone says it's normal, but it feels like the first day of my period, just no bleeding. Which is a good sign. But still, it's been coming and going all day today...and when it's on, I have to go to the bathroom to make sure there's no blood, and cry because I'm scared. It's more on the left side and towards the back, which I'm pretty sure is where the baby is. It's also pinching on my sciatic nerve (I had this issue during my first pregnancy). It seems to be calming down a bit, but it's still scary. Will it feel this way off and on throughout my whole pregnancy. I'm contemplating leaving work early because I feel so crappy, but I don't want anyone to think poorly of leaving early because I feel sick, and especially because I'm pregnant and still have a long ways to go.

Monday, November 5, 2012

5 weeks, 1 day

How I’m Changing 
My boobs are already hurting and growing. A lot of my tops for work were already a bit snug, but now I can no longer button up the button ups. Luckily I bought a few loose, flowing tanks a few weeks ago and can wear those with a cardigan just fine. Also, most of my work pants were snug before my BFP as well, so now I only have one pair that I can button comfortably...so, apparently I am quite bloated. I took a picture of myself yesterday and I feel like I look way farther along. I'll see if I can post it later tonight!

OK...here are the pics at 5 weeks exactly...granted I had a tiny bit of a pooch before getting pregnant, a lot of this is early pregnancy, evening bloat! Weight: 125




How I’m Feeling
I still have a few cramps that scare the crap out of me (usually at night for some reason), but they only last a few seconds, and then they are gone. I am also peeing a lot, and still waking up once a night to pee and sometimes have a snack. My eating has been off and on. Sometimes I feel like I can eat all day long...other days I don't feel like eating much of anything.

I've been feeling VERY emotional lately. We went to the mall over the weekend, and I guess we were walking too slow, and the people behind us, instead of just going around, were talking smack and then snottily said "excuse us!" I didn't bother moving but my friend did, and I got upset by this. I'm always the invisible person that people don't move for. Usually if I don't move, I'll get run over. It's always pissed me off, but this time around I couldn't take. As we left the mall, I went off and then started crying about it.

I'm also nervous. Half the time about something going wrong and the other half of the time, I worry about how our lives are going to change and if I will be a good mom. I know it's normal, but it's just such a crazy, out of control feeling. First ultrasound is next Friday, Nov. 16th. I'll be 6w5d. I'm both excited and nervous! The only other ultrasound I had during any pregnancy was when we found out our very first was a blighted ovum.

And tired. It's been kind of off and on during the day this past week, but it really hit me yesterday. We went out to breakfast, had sex (first time since conception), and put up the Christmas tree. We had to put the tree up in shifts and even then, I was so tired. I took a nap in the afternoon, then went to bed by 8pm. Today at 5w1d, I woke up tired and it hasn't left while here at work.

Oh, and the dreams! OMG, the dreams. I've been having some pretty wild dreams. Sex dreams. I wake up feeling exhilarated. I am not one to initiate doing it, but this weekend I did and it surprised the crap out of DH! I'm not sure it will last, especially since I had some mild cramping afterwards, which I would really like to avoid!

What I’m Eating
My cravings have been all over the place. Toast with butter and cinnamon sugar, cottage cheese, cheeseburgers and salads...just not all together :) Sometimes I'll crave something and 5 minutes later I'll change my mind. We went to the grocery store on Saturday, then on Sunday I didn't want anything we had bought and forced DH to run to Wendy's to buy me a BLT Cobb Salad. I must say it was quite yummy! 

Random thoughts this week:

  • Weight: Starting weight at the docs 3w5d was 129
  • Wondering if I will get m/s and when it will start
  • Anxiously awaiting Thanksgiving to tell my dad
  • Thursday, November 1, 2012

    Beta #2

    Mondays beta at 15dpo was 158

    Wednesdays beta at 17dpo was 441

    I am so HAPPY!!! That's a doubling time of 32.41 hours :)